Blood/Blood Cells and Cellular Components ›› Red Blood Cells ›› Abnormal

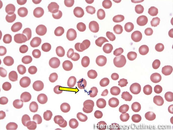
Bacterial contamination in peripheral blood smear*


Click Here for Full Size



Microscopic Features:
  • Bacterial colonies (usually cocci in chains and clusters) over RBCs
  • The contaminating bacteria are usually cocci (dark blue round structures much smaller than the RBC)
Normal % blood-PB, marrow-BM, lymphoid tissue-LN:
  • PB: None
  • BM: None
  • LN: None
May Resemble:
  • Platelets overlying red blood cell
  • Artifacts (e.g. Stain precipitate)
  • Real Bacterial infection
Differential Diagnoses:

Artifact
Real bacterial infection involving blood

Classic Immunophenotype:
  • N/A
Cartoon Image:



Click and drag
RBC
for direct comparison

Misc:
  • Bacterial colonies (usually cocci: most likely Staphlococcus epidermidis) from contaminated handling during processing of the peripheral blood smear by the medical technologist



Content Editors/Website Administrators:
Hooman H. Rashidi, MD; John C. Nguyen, MD