Primary Hematopoietic and Lymphoid Tissue ›› Bone Marrow ›› Abnormal

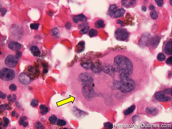
Staghorn-shaped Megakaryocyte*


Click Here for Full Size



Microscopic Features:
  • 10-30x larger than a mature RBC
  • Lower nuclear to cytoplasmic ratio because of increased cytoplasm
  • Multilobated Nucleus (6-10 lobes with a Staghorn configuration)
  • Nucleoli are absent
  • Cytoplasm is abundant and light blue which usually lacks granules
Normal % blood-PB, marrow-BM, lymphoid tissue-LN:
  • PB: None
  • BM: None
  • LN: None
May Resemble:
  • Megakaryocyte (normal) [Compare]
  • Osteoclast
  • Histiocytes and macrophages (specially multinucleated forms)
  • Hodgkin Lymphoma Reed Sternberg cell [Compare]
  • Metastatic tumor cells
Differential Diagnoses:

Associated with:
Myeloproliferative neoplasm (specifically Essential Thrombocythemia)
Post Chemotherapy
MDS (rarely)

Classic Immunophenotype:
  • CD41+
  • CD42+
  • CD61+
Cartoon Image:



Click and drag
RBC
for direct comparison

Misc:
  • For Megakaryocytes with polar disconnected lobes think of MDS For Megakaryocytes with Staghorn shape think of Essential Thrombocythemia (a Myeloproliferative neoplasm)



Content Editors/Website Administrators:
Hooman H. Rashidi, MD; John C. Nguyen, MD