Secondary Lymphoid Tissues ›› Mucosa-Associated Lymphoid Tissue (MALT) ›› Abnormal

MALT Lymphoma (e.g. Gastric)*


Click Here for Full Size



Additional Image 1 Additional Image 2

Microscopic Features:
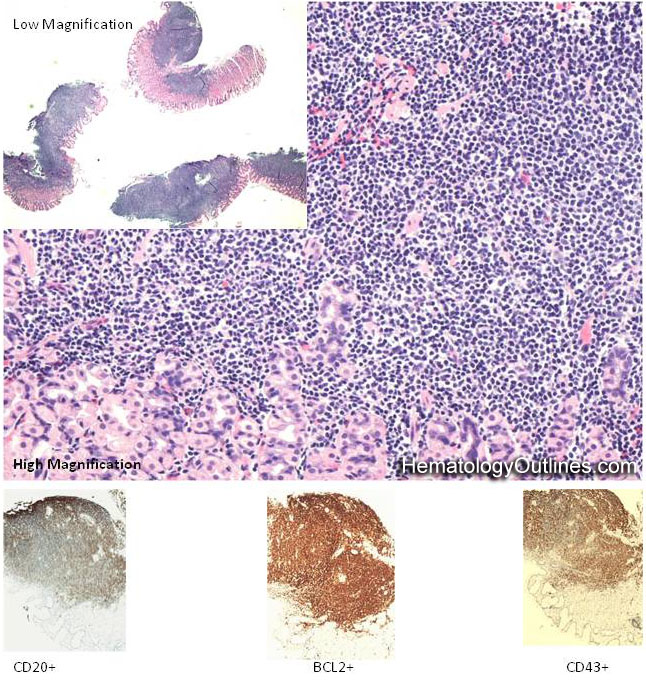
  • Small- to intermediate-sized lymphocytes (many with monocytoid features which show increased amount of cytoplasm)
  • Lymphoepithelial lesions (neoplastic lymphocytes infiltrating and destroying the epithelial glandular tissue)
Normal % blood-PB, marrow-BM, lymphoid tissue-LN:
  • PB: None
  • BM: None
  • LN: None
May Resemble:
  • H. pylori gastritis
  • Follicular Lymphoma [Compare]
  • Diffuse Large B-cell Lymphoma [Compare]
  • Lymphoplasmacytic lymphoma
  • Small Lymphocytic Lymphoma [Compare]
  • Mantle Cell Lymphoma [Compare]
Differential Diagnoses:

Infection (specifically H. Pylori in stomach)
Mantle cell lymphoma
Follicular lymphoma
Lymphoplasmacytic lymphoma
Diffuse Large B-cell Lymphoma

Classic Immunophenotype:
  • CD19+
  • CD20+
  • CD5-
  • CD10-
  • CD23-
  • BCL1-
Cartoon Image:



Misc:
  • Gastric MALT lymphoma is usually associated with H. pylori Note: Extranodal MALT lymphomas are more common in areas of the body that usually lack normal MALT lymphoid tissue (e.g.gastric, etc.)



Content Editors/Website Administrators:
Hooman H. Rashidi, MD; John C. Nguyen, MD