HematologyOutlines - Atlas
Primary Hematopoietic and Lymphoid Tissue ›› Bone Marrow ›› Abnormal
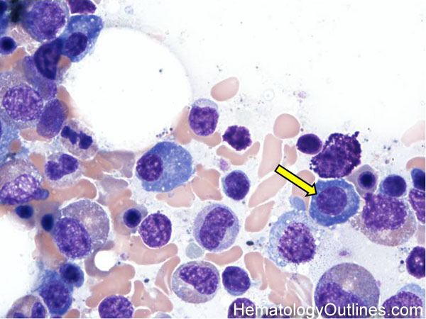
Plasmablast (Immature plasma cell)*
Click Here for Full Size
 › Microscopic Features:- 3-4x larger than a mature RBC
- Round eccentricly placed nucleus with less mature chromatin
- Moderate amount of basophilic (blue) cytoplasm with prominent perinuclear hof (clearing)
- Nucleoli are Prominent
 › Normal % blood-PB, marrow-BM, lymphoid tissue-LN:- PB: None
- BM: None
- LN: None
 › May Resemble:- Polychromatophilic normoblast
- Plasma cell (mature)
- Myeloblast
- Osteoblast
- Pronormoblast
- Monoblast
- Reactive lymphocyte
 › Differential Diagnoses:
Plasma cell myeloma (plasmablastic form) Plasmablastic lymphoma Plasma cell leukemia |
 › Classic Immunophenotype:- CD138+
- CD38 bright+
- CD19-
- CD56- (more common)
- CD20-
- Cytoplasmic light chain restricted (kappa only or lambda only)
 › Cartoon Image:
Click and drag
 for direct comparison › Misc:- Rarely found in normal bone marrow and rarely noted in non-neoplastic conditions
|
|